
近日,汉寿县人民医院与罐头嘴镇卫生院高效联动,成功救治一名70岁非典型急性广泛前壁心肌梗死患者。
这场紧密协作、环环相扣的生命接力,依托国家基本公共卫生服务老年人免费体检这一民生工程,及时发现隐匿凶险病情,汉寿县胸痛中心以过硬的急危重症急救实力,让民生医疗的温暖与实效,牢牢守护在全县群众身边。
隐匿心梗早识别 绿色通道速转诊
事发当日18:00,70岁的帅大爷(化名)在家中休息时,突感双侧手臂胀痛,疼痛感逐渐向左肩放射。由于未出现胸痛、胸闷等急性心梗典型症状,老人并未察觉病情凶险,仅简单休息,未做任何处理。
直至次日上午,帅大爷的不适症状持续加重,他便前往罐头嘴镇卫生院,参加年度老年人免费体检。正是这次寻常的民生健康筛查,及时捕捉到危及生命的危重病情信号,为后续紧急抢救争取到了至关重要的关键先机。
帅大爷的症状,属于急性心梗中极易漏诊、误诊的非典型表现,隐蔽性极强,稍有延误便可能错失最佳救治时机。罐头嘴镇卫生院接诊医护人员,凭借扎实的专业功底与敏锐的临床判断力,第一时间察觉病情异常,迅速为患者完成心电图检查,并精准诊断为急性心肌梗死。


病情就是命令,救治就是责任!医护人员立即为帅大爷嚼服“心梗一包药”(拜阿司匹林300mg、氯吡格雷300mg),并同步将检查结果上传至汉寿县胸痛中心工作群,详细汇报患者情况,即刻启动县乡双向转诊绿色通道,为帅大爷抢下了宝贵的黄金救治时间。
多学科极速响应 打通生命急救通道
汉寿县胸痛中心接到转诊通知后,第一时间启动急性心梗救治绿色通道,急诊科、心血管内科、介入中心等多学科团队迅速集结,真正实现“患者未到,保障先行”,为生命打通全程无阻的急救快车道。


(▲患者检查、检验结果提示急性广泛前壁心肌梗死)
11时19分,帅大爷顺利抵达汉寿县人民医院急诊科,胸痛中心绿色通道全程开启,经复查心电图、检测心肌酶谱,患者被确诊为急性广泛前壁心肌梗死。
此时距离患者发病已长达17小时,远超急性心梗120分钟的黄金救治窗口期,加之老人血压持续偏低,已出现休克前兆,病情极度凶险,救治刻不容缓。
微创介入创奇迹 精准施救挽生命
时间就是心肌,时间就是生命!面对帅大爷的危急病情,急诊科医师当即启动介入绿色通道,入院仅28分钟,在征得家属知情同意后,患者便被火速送入导管室,心血管内科介入团队早已完成术前准备,全程待命开展手术。

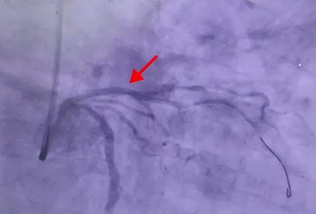
(▲冠脉造影提示前降支近端完全闭塞)
11时54分,桡动脉穿刺成功,通过手腕处针眼大小的微小创口,建立起微创生命通道;
11时58分,冠脉造影精准锁定病灶,确认患者左冠状动脉前降支近端100%闭塞;
12时15分,手术导丝成功穿过堵塞血管,打通心脏供血关键通路。
从患者进入医院大门到导丝通过堵塞血管(D-to-W)时间仅为56分钟,远低于90分钟的国际急性心梗急救标准,成功突破超长发病时间的救治极限,创造了危重心梗患者的抢救奇迹!
随后,介入团队凭借精湛技术,顺利完成球囊扩张及药物支架植入手术,彻底疏通堵塞血管,恢复心脏正常血流。术后复查显示,支架贴合完好,血管残余狭窄为0%,手术圆满成功。

(▲PCI术后前降支近端血管开通,无残余狭窄,血流TIMI3级)
术后患者转入重症医学科接受监护治疗,经抗休克、抗心衰、稳定斑块等综合救治,帅大爷的生命体征逐渐平稳。转入普通病房后,经医护人员精心治疗与悉心护理,最终顺利出院。
温馨提示:这些心梗信号,千万别忽视
汉寿县胸痛中心医疗总监、心血管内科主任朱济文副主任医师提醒广大市民:急性心梗致死率、致残率极高,老年患者发病症状往往不典型。若出现手臂痛、肩背痛、大汗淋漓、恶心乏力等不适症状,即便没有胸痛表现,也务必第一时间拨打120急救电话,切勿拖延错过救治时机。
此次高龄非典型心梗患者的成功救治,是汉寿县县乡医疗高效联动的生动实践。基层卫生院依托民生体检筑牢健康首道防线,精准筛查、快速转诊;汉寿县人民医院凭借成熟的胸痛中心体系与精湛的医疗技术,圆满完成核心救治任务,双方携手构建起“民生筛查、基层首诊、快速转诊、上下联动、精准救治”的全链条急救网络。
未来,汉寿县人民医院将持续优化急救转诊流程,不断提升急危重症综合救治能力,以更专业、高效、暖心的医疗服务,全力守护全县群众的生命健康安全!
湖南医聊特约作者:汉寿县人民医院 心血管内科三病区 李俊
淘配网提示:文章来自网络,不代表本站观点。